Врачи воронежской больницы прооперировали двух детей с редким пороком развития

Врачи детской клинической больницы №2 в Воронеже прооперировали двух пациентов с одним редким пороком развития.

Подобные парные случаи заболеваний необъяснимы.

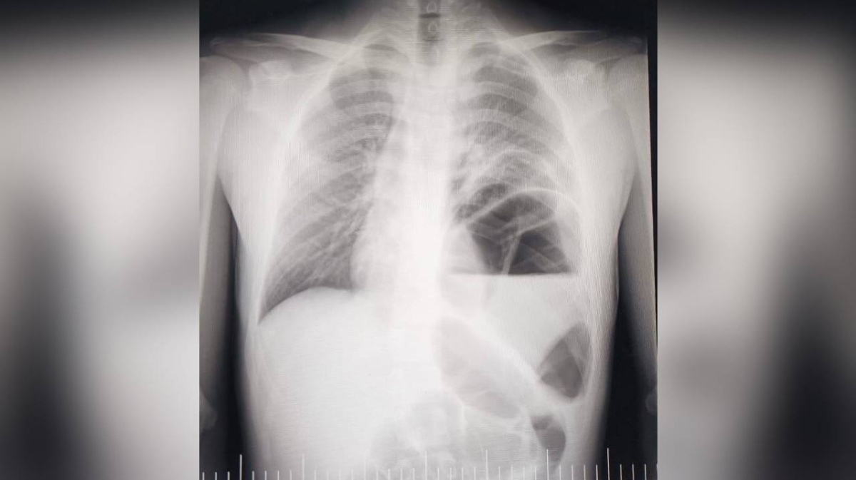
Врачи детской клинической больницы №2 в Воронеже прооперировали двух пациентов с одним редким пороком развития.  Он называется диафрагмальной грыжей, пояснили в больнице в субботу, 4 февраля.

Органы переместились из брюшной полости в грудную клетку. Во время операции установили, что сместились желудок, селезёнка, поперечная ободочная кишка, сальник и участок тонкого кишечника.

Оба ребёнка поступили с уже острой клиникой заболевания. Их оперировали экстренно – всё прошло успешно.

Несколько дней дети находились в отделении реанимации под круглосуточным наблюдением врачей-реаниматологов. Сейчас их перевели в общую палату для курса реабилитации. В больнице отметили, что подобные парные случаи во врачебной практике необъяснимы.

Ранее врачи из другой воронежской больницы успешно удалили трёхлитровую кисту у  15-летней девочки. Образование занимало почти всю полость живота и сдавливало органы. Варвара Щербакова

Последние новости

Сколько стоит ремонт частотного преобразователя: что влияет на цену?

Разбираем факторы, формирующие стоимость обслуживания и восстановления частотников

Из-за ремонта железнодорожного переезда в Воронеже изменят маршрут пригородного автобуса

Фото: Google Maps Из-за ремонта железнодорожного переезда на левом берегу Воронежа временно изменится маршрут одного из пригородных автобусов.

Проведенное госжилинспекцией профилактическое мероприятие помогло воронежцам добиться ремонта кровли

Жительница многоквартирного дома № 8 по ул. Космонавтов обратилась в ГЖИ Воронежской области с жалобой на регулярную протечку кровли.

Потребительский кредит без боли: как не стать жертвой долговой ямы

Как взять кредит с умом и не пожалеть об этом спустя пару месяцев

На этом сайте вы сможете узнать актуальные данные о погоде в Великих Луках, включая прогнозы на ближайшие дни и часы

Комментарии (0)

Добавить комментарий

Ваш email не публикуется. Обязательные поля отмечены *