Воронежские врачи за сутки провели операцию детям с редким пороком развития

Воронежские врачи 11 отделения БУЗ ВО «ОДКБ №2» прооперировали за сутки сразу двоих детей.

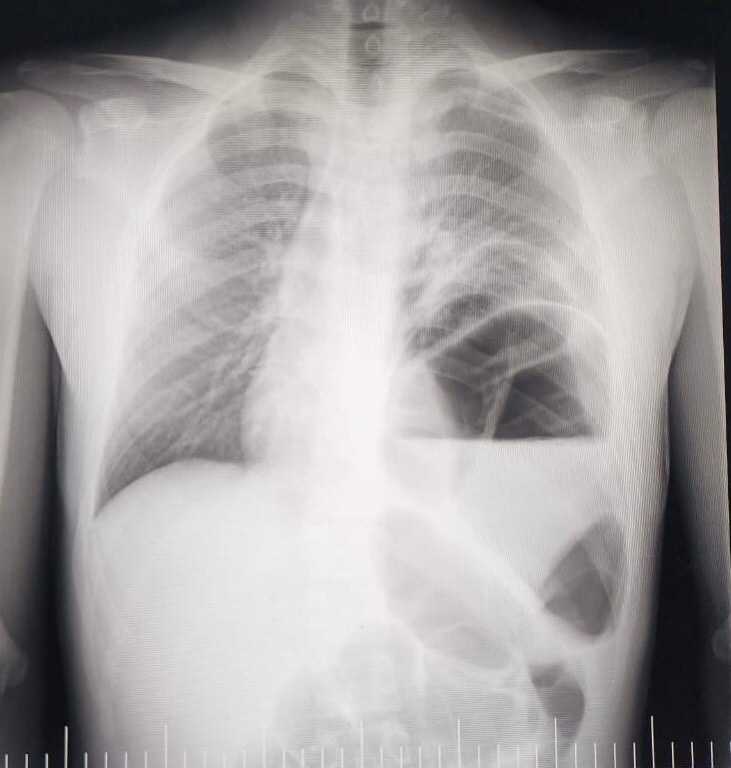
Парный случай произошёл в конце января.

Воронежские врачи 11 отделения БУЗ ВО «ОДКБ №2» прооперировали за сутки сразу двоих детей. Пациенты, с довольно редким пороком развития - ложная диафрагмальная грыжа,в экстренном порядке поступили в больницу в конце января. Во время операции врачи установили, что в грудную клетку переместились: желудок, селезенка, поперечная ободочная кишка, сальник и участок тонкого кишечника. Операции прошли успешно. Дети несколько дней находились в отделении реанимации под круглосуточным наблюдением. Сейчас пациентов перевели в общую палату, где они проходят ранний курс реабилитации.

Специалисты объясняют, что такое диафрагмальная грыжа – это перемещение органов из брюшной полости (кишечник, желудок и т.д.) в грудную полость через естественное или патологическое отверстие в диафрагме (ложные), а так же путем выпячивания истонченного участка диафрагмы (истинные).

Фото:  БУЗ ВО «ОДКБ №2».

Последние новости

Сколько стоит ремонт частотного преобразователя: что влияет на цену?

Разбираем факторы, формирующие стоимость обслуживания и восстановления частотников

Из-за ремонта железнодорожного переезда в Воронеже изменят маршрут пригородного автобуса

Фото: Google Maps Из-за ремонта железнодорожного переезда на левом берегу Воронежа временно изменится маршрут одного из пригородных автобусов.

Проведенное госжилинспекцией профилактическое мероприятие помогло воронежцам добиться ремонта кровли

Жительница многоквартирного дома № 8 по ул. Космонавтов обратилась в ГЖИ Воронежской области с жалобой на регулярную протечку кровли.

Коррекция фиброза и возрастных изменений: когда показан эндотканевой лифтинг

Как современная технология помогает вернуть коже упругость, убрать отёки и улучшить рельеф без хирургии

Здесь вы можете узнать о лучших предложениях и выгодных условиях, чтобы купить квартиру в Домодедово

Комментарии (0)

Добавить комментарий

Ваш email не публикуется. Обязательные поля отмечены *