Детей с редким пороком развития прооперировали в воронежской больнице

Оба ребенка поступили в медучреждение с острой клиникой заболевания, но все завершилось благополучно.

Оба ребенка поступили в медучреждение с острой клиникой заболевания, но все завершилось благополучно.

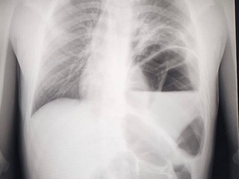
4 февраля в воронежской больнице №2 имени Федяевского сообщили об успешных операциях у двух детей. У малышей наблюдался редкий порок развития, именуемый диафрагмальной грыжей. К тому же подобный парный случай ранее не был описан ни в одном медицинском учебнике, но о нем наслышаны все. Диафрагмальная грыжа заключается в перемещении органов из брюшной полости (кишечник, желудок и т.д.) в грудную полость через естественное или патологическое отверстие в диафрагме (ложные). Также перемещение происходит путем выпячивания истонченного участка диафрагмы (истинные).

Дети поступили в больницу, когда у них нарастали симптомы сердечно-легочной недостаточности. Поэтому врачи начали оперировать маленьких пациентов в экстренном порядке. Медики увидели, что в грудную клетку переместились желудок, селезенка, поперечная ободочная кишка, сальник и участок тонкого кишечника. В итоге малыши были успешно прооперированы, у них был устранен дефект диафрагмы.

- Несколько дней дети находились в отделении реанимации под круглосуточным наблюдением врачей-реаниматологов, которые контролировали такие важные показатели, как артериальное давление, пульс, сатурация, дыхание, а также проводили нутритивную поддержу и обезболивание, - говорят в больнице №2.


В данный момент состояние детей удовлетворительное. Они находятся в общей палате и проходят курс реабилитации.

Илья Ершов

Последние новости

Сколько стоит ремонт частотного преобразователя: что влияет на цену?

Разбираем факторы, формирующие стоимость обслуживания и восстановления частотников

Из-за ремонта железнодорожного переезда в Воронеже изменят маршрут пригородного автобуса

Фото: Google Maps Из-за ремонта железнодорожного переезда на левом берегу Воронежа временно изменится маршрут одного из пригородных автобусов.

Проведенное госжилинспекцией профилактическое мероприятие помогло воронежцам добиться ремонта кровли

Жительница многоквартирного дома № 8 по ул. Космонавтов обратилась в ГЖИ Воронежской области с жалобой на регулярную протечку кровли.

Коррекция фиброза и возрастных изменений: когда показан эндотканевой лифтинг

Как современная технология помогает вернуть коже упругость, убрать отёки и улучшить рельеф без хирургии

На этом сайте представлены актуальные варианты, чтобы снять квартиру в Бердске на выгодных условиях

Комментарии (0)

Добавить комментарий

Ваш email не публикуется. Обязательные поля отмечены *